|
There are several types of teeth. This video covers the main kinds of teeth (incisors, canines, molars and pre-molars) and their functions.
These videos cover the effects of bacteria (plaque) and diet on tooth decay and the importance of dental hygiene.

This video discusses how fluoride helps prevent tooth decay.
Diet
You will need to know the value of a balanced diet, that it is composed of carbohydrates, fats, proteins, vitamins, mineral salts, fibre and water, in the maintenance of good health and examples of the foods that are sources of these. you will also need to know that glucose and starch are examples of carbohydrates, vitamin C is an example of a vitamin and calcium salts are an example of a mineral.
You need to know that food is used as a fuel during respiration to maintain the body's activity and as a raw material for growth and repair and that carbohydrates are energy-containing foods, proteins are needed for growth and repair, fats are an energy source and are also needed for insulation.

You need to eat a balanced diet in order to stay healthy. this means that not only do you need to eat the right amounts of the different food groups but also overall the quantity must be right so that the amount of energy you are consuming is balanced by the amount of energy you are expending. Failure to do this will either mean that you stave yourself or you become too fat. This video sums up the need for exercise.
If you do not eat a balanced diet then you will become ill and in extreme circumstances die. Some of the common ailments linked to not eating a balanced diet are listed below.
Too little fibre -
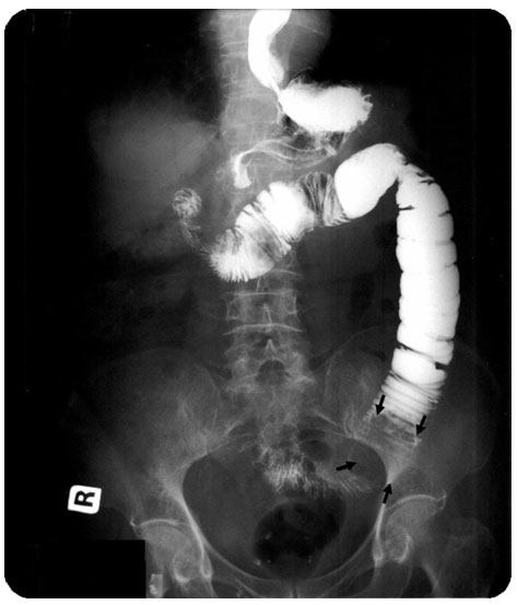
If you eat too little fibre then waste materials do not progress through your gut and get excreted in a timely fashion. If this is the case then you may suffer from constipation. If this is left too long then you may suffer from an impacted bowel. food is going in but no solid matter is being excreted. In extreme cases this can be fatal. The picture below shows an x ray of an impacted bowel.
The white areas are where the x rays are not passing through.
Vitamin C Deficiancy - Scurvy
Scurvy was a disease that affected all sailors in past times. It was said that it killed more sailors than enemy action. In 1794 a Scottish naval surgeon James Lind linked vitamin C deficiency to scurvy It is this idea that British sailors included citrus fruit or juice in their diets that might have lead to the Americans calling the British “Limeys”
Some of the signs of scurvy are bleeding gums and the hairs on the patients’ arms turning curly or corkscrews.
Vitamin D Deficiency - Rickets
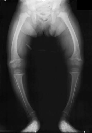
Vitamin D is found in a variety of foods particularly fish. Vitamin D helps to bind the calcium found in milk to form strong bones. Unfortunately this is becoming more common again. Common signs are bowed legs and arms as the bones do not contain enough calcium.
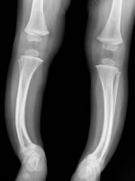
Here again x rays help to demonstrate this clearly. The whiter the image the more the x rays are blocked so the denser the bone. the first x ray on the left is of a normal set of legs.
This x ray shows the legs of a person suffering from Rickets. As you can see the image is much more faded and the bone walls are much thinner. as a result this person is more likely to break bones whereas a normal person might just bruise themselves.
In the second half of the 20th century rickets was thought to have been consigned to the history books but at the beginning of the 21st century it has made a comeback. A few years ago a child died of rickets here in the UK.
This video shows how to test food to see if it contains starch using iodine. A positive test shows the iodine changing from brown to a blue black colour.
Digestion
the principles of digestion, including the role of enzymes in breaking down large molecules into smaller ones that are soluble and capable of being absorbed across the lining of the intestine into the bloodstream.

These videos are a bit of fun but also might help you grasp the concepts.

Circulation
You need to know that the heart acts as a pump to circulate the blood through vessels around the body, including through the lungs. You will also need to know the structure of the heart (but not the names of chambers and valves).
This video is fairly detailed and goes on to look at the causes of heart disease but the basics are there.
You need to know that the heart forces blood around the body to the organs through arteries and that the blood returns to the heart through veins

During exercise the body needs more oxygen and food to provide the necessary energy, and that this can be demonstrated by comparing pulse rates at rest and after exercise.
This video covers the effects of exercise on the body and the benefits to health
The skeleton
You need to know the location of the skull, backbone (vertebral column), rib cage, pelvis, collar-bone and shoulder blade as well as the way skeleton protects delicate organs, supports the body and provides attachment for muscles.
The skeleton has several different types of joints to allow all the movement we enjoy.
Muscles can contract and relax. They are pulled back to their original length by the contraction of antagonistic muscles and that muscles usually operate across moveable joints.

Respiration
The lung surface is greatly folded creating a large surface for gaseous exchange. This allows oxygen to be taken into the lungs and carbon dioxide to be removed. This flow of air into and out of the lungs is called breathing. Oxygen is transported to the tissues by the circulatory system. Aerobic respiration happens within the cells and involves a reaction between oxygen and food, in which glucose is broken down to carbon dioxide and water and releases energy.
These two videos cover the structure of the lungs and the respiratory system.

This video also covers the respiratory system from a different perspective
This video shows how you can test to see if your exhaled breath contains carbon dioxide
Smoking is one of the causes of lung cancer and heart disease. It reduces the surface area of the lungs, leading to severe breathing difficulties. These videos illustrate what happens

|